Implanty w jeden dzień w Koszalinie to rozwiązanie, które zyskuje coraz większą popularność wśród pacjentów. Jedną z głównych zalet tego typu zabiegu jest znaczna oszczędność czasu. Pacjenci nie muszą czekać tygodniami na zakończenie procesu leczenia, co jest często wymagane w przypadku tradycyjnych metod implantacji. Dzięki nowoczesnym technologiom i technikom chirurgicznym możliwe jest przeprowadzenie całej procedury w ciągu jednego dnia, co pozwala na natychmiastowe uzyskanie efektów estetycznych. Kolejną istotną zaletą jest komfort psychiczny pacjentów, którzy nie muszą martwić się o długotrwałe leczenie oraz związane z nim wizyty kontrolne. Warto również zauważyć, że implanty w jeden dzień mogą być wykonane przy użyciu znieczulenia miejscowego, co minimalizuje dyskomfort podczas zabiegu. Dodatkowo, nowoczesne materiały używane do produkcji implantów są niezwykle trwałe i biokompatybilne, co zwiększa ich żywotność oraz zmniejsza ryzyko powikłań.
Jak wygląda proces zakupu implantów w jeden dzień w Koszalinie
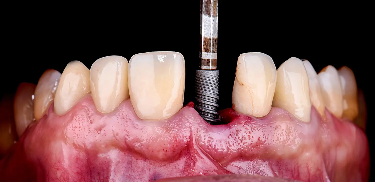
Proces zakupu implantów w jeden dzień w Koszalinie rozpoczyna się od konsultacji ze specjalistą, który oceni stan zdrowia pacjenta oraz zaplanuje odpowiednią procedurę. Na tym etapie lekarz przeprowadza dokładne badania diagnostyczne, takie jak zdjęcia rentgenowskie czy tomografia komputerowa, aby określić warunki anatomiczne i ewentualne przeciwwskazania do zabiegu. Po ustaleniu planu działania pacjent może przystąpić do zabiegu, który zazwyczaj odbywa się w znieczuleniu miejscowym. W trakcie operacji lekarz umieszcza implanty w kości szczęki lub żuchwy, a następnie mocuje na nich tymczasowe korony. Cały proces jest starannie monitorowany przez zespół medyczny, co zapewnia bezpieczeństwo i komfort pacjenta. Po zakończeniu zabiegu pacjent otrzymuje szczegółowe instrukcje dotyczące pielęgnacji oraz zaleceń pooperacyjnych. Ważne jest również umówienie się na wizyty kontrolne, które pozwolą na monitorowanie postępów gojenia się tkanek oraz oceny stabilności implantów.
Czy implanty w jeden dzień są bezpieczne dla pacjentów w Koszalinie

Bezpieczeństwo implantów w jeden dzień w Koszalinie to kwestia niezwykle istotna dla każdego pacjenta rozważającego ten rodzaj leczenia stomatologicznego. Nowoczesne metody chirurgiczne oraz zaawansowane technologie stosowane podczas zabiegów znacząco zwiększają poziom bezpieczeństwa. Lekarze stomatolodzy posiadają odpowiednie kwalifikacje oraz doświadczenie, co pozwala im na precyzyjne wykonanie procedury. Przed przystąpieniem do zabiegu każdy pacjent przechodzi szczegółową ocenę stanu zdrowia oraz analizę ewentualnych przeciwwskazań. W przypadku osób z chorobami przewlekłymi lub innymi schorzeniami lekarze podejmują decyzję o dalszym postępowaniu na podstawie indywidualnych potrzeb i możliwości pacjenta. Ważnym aspektem jest również dobór odpowiednich materiałów implantologicznych, które powinny być biokompatybilne i spełniać najwyższe standardy jakości. Dzięki temu ryzyko wystąpienia powikłań pooperacyjnych jest minimalizowane.
Jak dbać o implanty w jeden dzień po zabiegu w Koszalinie
Dbanie o implanty w jeden dzień po zabiegu w Koszalinie jest kluczowe dla ich długowieczności oraz zdrowia jamy ustnej pacjenta. Po zakończeniu procedury lekarze zazwyczaj udzielają szczegółowych wskazówek dotyczących pielęgnacji nowych implantów. Przede wszystkim ważne jest utrzymanie higieny jamy ustnej na wysokim poziomie. Pacjenci powinni regularnie szczotkować zęby oraz stosować nici dentystyczne do czyszczenia przestrzeni międzyzębowych wokół implantów. Należy unikać twardych pokarmów przez pierwsze dni po zabiegu, aby nie obciążać świeżo wszczepionych implantów. Również unikanie palenia tytoniu oraz nadmiernego spożycia alkoholu może przyczynić się do szybszego gojenia się tkanek i zmniejszenia ryzyka powikłań. Regularne wizyty kontrolne u stomatologa są niezbędne do monitorowania stanu zdrowia implantów oraz ogólnego stanu jamy ustnej. Specjalista może zalecić dodatkowe zabiegi higieniczne lub profilaktyczne, które pomogą utrzymać zdrowe dziąsła i kości wokół implantów.
Jakie są koszty implantów w jeden dzień w Koszalinie
Koszty implantów w jeden dzień w Koszalinie mogą się znacznie różnić w zależności od wielu czynników, takich jak doświadczenie lekarza, lokalizacja kliniki oraz użyte materiały. Warto zaznaczyć, że cena nie zawsze powinna być jedynym kryterium wyboru, ponieważ jakość wykonania oraz bezpieczeństwo są kluczowe dla sukcesu zabiegu. Zazwyczaj koszt jednego implantu oscyluje w granicach kilku tysięcy złotych, a całkowity koszt leczenia może obejmować również dodatkowe usługi, takie jak konsultacje, zdjęcia rentgenowskie czy tymczasowe korony. W przypadku implantów wykonywanych w jeden dzień pacjenci mogą liczyć na wyższe ceny ze względu na intensywną pracę zespołu medycznego oraz zastosowanie nowoczesnych technologii. Warto jednak pamiętać, że wiele klinik oferuje różne formy finansowania, takie jak raty czy kredyty, co może ułatwić pokrycie kosztów. Przed podjęciem decyzji warto zasięgnąć opinii innych pacjentów oraz zapoznać się z referencjami kliniki.
Jakie są opinie pacjentów o implantach w jeden dzień w Koszalinie
Opinie pacjentów o implantach w jeden dzień w Koszalinie są zazwyczaj pozytywne, co świadczy o rosnącej popularności tej metody leczenia. Wielu pacjentów docenia przede wszystkim szybkość i efektywność całego procesu. Możliwość uzyskania nowego uśmiechu w ciągu jednego dnia jest dla wielu osób ogromnym atutem, zwłaszcza dla tych, którzy mają ograniczony czas lub chcą uniknąć długotrwałego leczenia. Pacjenci często podkreślają również komfort psychiczny związany z natychmiastowym efektem estetycznym oraz poprawą jakości życia po zabiegu. Wiele osób zauważa znaczną poprawę samopoczucia oraz pewności siebie po wszczepieniu implantów. Oczywiście, jak w każdej dziedzinie medycyny, zdarzają się także negatywne opinie, które najczęściej dotyczą powikłań lub niezadowolenia z efektu końcowego. Dlatego ważne jest, aby przed podjęciem decyzji o zabiegu dokładnie zbadać opinie innych pacjentów oraz skonsultować się z doświadczonym specjalistą.
Jak długo trwa proces gojenia po implantach w jeden dzień w Koszalinie
Proces gojenia po implantach w jeden dzień w Koszalinie jest kluczowym etapem, który wpływa na długoterminowy sukces leczenia. Po wszczepieniu implantów pacjenci mogą oczekiwać pewnych dolegliwości bólowych oraz obrzęków, które są naturalnymi reakcjami organizmu na interwencję chirurgiczną. Zazwyczaj objawy te ustępują po kilku dniach i można je złagodzić przy pomocy zaleconych przez lekarza leków przeciwbólowych. Gojenie tkanek wokół implantów trwa zazwyczaj od kilku tygodni do kilku miesięcy, a pełna integracja implantu z kością może zająć nawet pół roku. W tym czasie niezwykle istotne jest przestrzeganie zaleceń lekarza dotyczących diety oraz higieny jamy ustnej. Pacjenci powinni unikać twardych pokarmów oraz nadmiernego obciążania świeżo wszczepionych implantów. Regularne wizyty kontrolne pozwalają na monitorowanie postępów gojenia oraz ewentualnych problemów.
Jakie są alternatywy dla implantów w jeden dzień w Koszalinie
Alternatywy dla implantów w jeden dzień w Koszalinie obejmują różnorodne metody leczenia stomatologicznego, które mogą być dostosowane do indywidualnych potrzeb pacjentów. Jedną z najpopularniejszych opcji są mosty protetyczne, które pozwalają na uzupełnienie brakujących zębów poprzez osadzenie ich na zdrowych zębach sąsiednich. Mosty są tańszą alternatywą niż implanty, ale wymagają szlifowania zdrowych zębów, co może być niekorzystne dla ich struktury. Innym rozwiązaniem są protezy ruchome lub stałe, które mogą być stosowane zarówno u osób starszych, jak i młodszych pacjentów. Protezy oferują możliwość uzupełnienia brakujących zębów bez konieczności przeprowadzania zabiegów chirurgicznych, jednak mogą być mniej komfortowe i estetyczne niż implanty. Warto również rozważyć leczenie ortodontyczne jako sposób na poprawę układu zębów i ich funkcji bez konieczności stosowania implantów.
Jak przygotować się do zabiegu implantacji w jeden dzień w Koszalinie
Przygotowanie do zabiegu implantacji w jeden dzień w Koszalinie jest kluczowym elementem zapewniającym sukces całej procedury. Na kilka dni przed planowanym zabiegiem zaleca się przeprowadzenie szczegółowej konsultacji ze stomatologiem, który oceni stan zdrowia jamy ustnej oraz przeprowadzi niezbędne badania diagnostyczne. Ważne jest również informowanie lekarza o wszelkich przyjmowanych lekach oraz chorobach przewlekłych, które mogą wpłynąć na przebieg operacji. Pacjenci powinni unikać palenia tytoniu oraz alkoholu na kilka dni przed zabiegiem, ponieważ substancje te mogą negatywnie wpłynąć na proces gojenia się tkanek. Dzień przed zabiegiem warto zadbać o odpowiednią dietę – lekkostrawną i bogatą w witaminy oraz minerały wspierające organizm podczas rekonwalescencji.
Jak wygląda życie po wszczepieniu implantów w jeden dzień w Koszalinie
Życie po wszczepieniu implantów w jeden dzień w Koszalinie może być znacząco lepsze dzięki poprawionej estetyce uśmiechu oraz funkcjonalności jamy ustnej. Pacjenci często zauważają wzrost pewności siebie i komfortu podczas jedzenia czy mówienia już po pierwszych dniach od zabiegu. Ważne jest jednak przestrzeganie zaleceń lekarza dotyczących diety oraz pielęgnacji jamy ustnej przez pierwsze tygodnie po operacji. Osoby posiadające nowe implanty powinny unikać twardych pokarmów oraz nadmiernego obciążania świeżo wszczepionych elementów przez kilka tygodni po zabiegu. Regularne wizyty kontrolne są niezbędne do monitorowania stanu zdrowia implantu oraz ogólnej kondycji jamy ustnej. Pacjenci powinni także dbać o higienę jamy ustnej poprzez regularne szczotkowanie zębów i stosowanie nici dentystycznych do czyszczenia przestrzeni międzyzębowych wokół implantów.





